
Waarom spreken we over het gevaar van fluoride? Fluoride wordt al decennialang gebruikt in tandpasta, mondspoelingen en zelfs drinkwater.
Het idee is eenvoudig: fluoride helpt gaatjes te voorkomen en versterkt het tandglazuur.
Toch groeit de bezorgdheid over het gevaar van fluoride voor de gezondheid.
Steeds meer wetenschappers en gezondheidsdeskundigen waarschuwen dat fluoride niet onschuldig is en dat langdurige blootstelling schadelijke effecten kan hebben op tanden, botten en organen.
Hoe fluoride in je lichaam werkt
Fluoride is een mineraal dat van nature voorkomt in water, bodem en sommige voedingsmiddelen. Wanneer het wordt ingenomen, hoopt fluoride zich op in tanden en botten, maar ook in organen zoals de nieren, schildklier en hersenen.
Het gevaar van fluoride schuilt juist in die ophoping: teveel fluoride kan enzymen verstoren, de hormoonhuishouding beïnvloeden en de opname van belangrijke mineralen zoals calcium en magnesium verminderen.
Hoewel een lage dosis fluoride mogelijk nuttig is voor het glazuur, is de grens tussen veilig en schadelijk klein. Het gevaar van fluoride is dat zelfs matige blootstelling bij kwetsbare groepen zoals kinderen en mensen met nierproblemen kan leiden tot gezondheidsproblemen op lange termijn.
Tandproblemen door fluoride

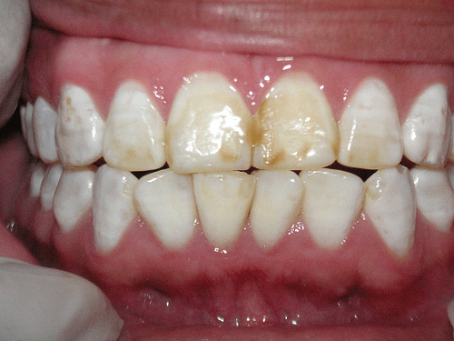
Fluoride wordt vaak geprezen om het versterken van tanden, maar overmatige blootstelling kan juist schade veroorzaken.
Tandfluorose is een aandoening die ontstaat door te veel fluoride en uit zich in witte of bruine vlekken op het tandglazuur.
In ernstige gevallen kan dit leiden tot broze tanden. Dit illustreert het eerste aspect van het gevaar van fluoride: wat bedoeld is als bescherming, kan bij overmaat juist schadelijk zijn.
Ook de botten kunnen worden aangetast. Bij langdurige blootstelling kan skeletfluorose ontstaan, een aandoening waarbij botten stijf en pijnlijk worden en zelfs vervormen. Skeletfluorose laat zien dat het gevaar van fluoride verder gaat dan alleen cosmetische schade aan tanden.
Neurotoxiciteit: het gevaar van fluoride en de hersenen
Een van de meest zorgwekkende gevolgen van fluoride is het effect op de hersenen. Onderzoek, waaronder meta-analyses, toont een verband tussen hoge fluorideblootstelling en een lager IQ bij kinderen.
Fluoride kan neurotoxisch zijn en de ontwikkeling van de hersenen beïnvloeden. Dit benadrukt een ander belangrijk aspect van het gevaar van fluoride: het kan de cognitieve functies van kinderen aantasten, vooral tijdens de groeifase.
Daarnaast kan fluoride de opname van jodium verminderen, wat indirect de hersenontwikkeling beïnvloedt. Voor ouders is dit een cruciaal punt om rekening mee te houden bij de keuze van tandpasta en drinkwater voor hun kinderen.
Hormoonsysteem en schildklier

Fluoride kan de productie van schildklierhormonen remmen, wat leidt tot hypothyreoïdie.
Symptomen hiervan zijn onder andere vermoeidheid, gewichtstoename en een vertraagd metabolisme.
Het gevaar van fluoride ligt hier in de subtiele maar langdurige verstoring van hormonale systemen.
Vooral mensen met een jodiumtekort zijn extra kwetsbaar.
Wetenschappers wijzen erop dat zelfs lage doses fluoride het hormonale evenwicht kunnen beïnvloeden, wat het belang onderstreept van bewust omgaan met fluoride in voeding en tandverzorging.
Het Gevaar van Fluoride voor Nieren en andere organen
Fluoride wordt uitgescheiden via de nieren, maar een deel hoopt zich op in botten en tanden. Mensen met een verminderde nierfunctie hebben een hoger risico op fluorideophoping.
Daarnaast is er bewijs dat fluoride oxidatieve stress kan verhogen, wat bijdraagt aan celbeschadiging en chronische ziekten zoals hart- en vaatproblemen. Het gevaar van fluoride beperkt zich dus niet tot tanden en botten, maar strekt zich uit tot het hele lichaam.
Controverses en regelgeving over het gevaar van fluoride

Overheden en gezondheidsinstanties verdedigen het gebruik van fluoride en beschouwen het veilig binnen bepaalde grenzen. Toch groeit de kritiek.
Een belangrijk punt van discussie is dat fluoridering van drinkwater neerkomt op medicatie op bevolkingsniveau.
Mensen hebben nauwelijks keuze om zich hieraan te onttrekken, waardoor het gevaar van fluoride een ethische dimensie krijgt.
Steeds meer deskundigen pleiten voor een herziening van richtlijnen en roepen op tot beperking van fluoride in drinkwater, zeker in landen waar de natuurlijke inname al hoog is.
Een gezond alternatief: Bright aloë vera Toothgel
Voor wie het gevaar van fluoride wil vermijden, biedt de Bright aloë vera Toothgel een veilig en effectief alternatief. Je hebt er maar een klein erwtje van nodig per poetsbeurt en er zit geen fluoride in.
In tegenstelling tot normale tandpasta hoef je deze niet volledig uit te spoelen: het overtollige schuim spuug je uit, maar de rest laat je in je mond zitten. Zo voedt de tandpasta je tandvlees en ondersteunt het een gezonde mondflora.
De tandpasta schuimt goed en heeft een zachte, natuurlijke smaak van aloë vera met een subtiele munt. Je krijgt het gevoel dat je tanden schoon zijn, de adem fris is en de bacteriën op tanden en tong effectief verwijderd worden.
De tandpasta heeft ook een polijstende werking die helpt tegen tandsteen en bevordert een gezonde, frisse mond.
Ingrediënten en werking
De Bright aloë vera Toothgel bevat natuurlijke ingrediënten:
- Aloe Barbadensis Leaf Juice (gestabiliseerde Aloe Vera-gel) – verzachtend, verzorgend en hydraterend voor tandvlees en mondslijmvlies.
- Propolis Extract – een natuurlijke stof van bijen met antibacteriële en ontstekingsremmende werking.
- Hydrated Silica (gehydrateerde silica) – een zachte polijststof die helpt tandplak en oppervlakkige vlekken te verwijderen.
- Glycerin (glycerine) – zorgt voor een gladde textuur en helpt vocht vast te houden.
- Sorbitol – een natuurlijke zoetstof die ook als bevochtigingsmiddel werkt.
- Sodium Lauryl Sulfate (SLS) – een schuimmiddel dat helpt bij de reiniging.
- Aroma – natuurlijke of natuurlijke smaakstoffen (zoals munt).
- Sodium Sacharine – een kunstmatige zoetstof voor een aangename smaak.
- Chondrus Crispus Powder (Iers mos-poeder) – een roodwier dat als verdikkingsmiddel en stabilisator dient.
- Sodium Benzoate (natriumbenzoaat) – conserveermiddel om de tandpasta langer houdbaar te maken.
- Citric Acid (citroenzuur) – helpt de pH in balans te houden.
- Limonene – een geur- en smaakstof, afkomstig uit citrusolie.
- Ascorbic Acid (vitamine C) – antioxidant die beschermt tegen vrije radicalen.
- Potassium Sorbate (kaliumsorbaat) – conserveermiddel tegen schimmel- en bacteriegroei.
- Methylparaben – conserveermiddel om bederf tegen te gaan.
- CI 75810 – dit is de groene kleurstof chlorofyl (uit planten). Het geeft de tandpasta haar herkenbare groene kleur.
Aloë vera verzorgt en kalmeert het tandvlees, terwijl Bee Propolis ontstekingsremmend werkt en helpt tandbederf te voorkomen.
Propolis is een harsachtige stof die bijen verzamelen uit bladeren, knoppen en schors van bomen en letterlijk “beschermer van de stad” betekent.
Het helpt de bijenkorf te beschermen tegen infecties en werkt op een vergelijkbare manier in je mond: het beschermt het tandvlees en ondersteunt een gezonde mondflora.
Duurzaam en diervriendelijk
Er is bewust gekozen voor natuurlijke en veilige ingrediënten die mens-, dier- en milieuvriendelijk zijn. Alle producten dragen het Leaping Bunny-logo, wat betekent dat ze niet op dieren getest zijn.
Door fluoride te vervangen door Propolis en aloë vera, biedt de tandpasta een veilige en natuurlijke verzorging die het gevaar van fluoride volledig vermijdt.

Voor wie een natuurlijk en
veilig alternatief zoekt
Bright aloë vera Toothgel biedt een perfecte oplossing.
Met natuurlijke ingrediënten zoals aloë vera en Bee Propolis verzorg je je tanden en tandvlees, vermijd je het gevaar van fluoride, krijg je een frisse adem en ondersteun je tegelijkertijd een gezonde mondflora.
Disclaimer
Hou er rekening mee dat ik geen arts of deskundige ben. De informatie in dit artikel heb ik geschreven met als enig doel belangrijke informatie voor mijzelf te vinden en deze eveneens te verstrekken aan mijn lezers.
Het heeft geen enkele therapeutische of diagnostische waarde en is in geen enkel geval bedoeld om diensten, informatie of gegevens van artsen, specialisten of andere gediplomeerden en professionals te vervangen.
Elk medisch advies, medische vragen, klachten of symptomen moeten worden besproken met een gediplomeerd arts of professional.
Ik probeer mij steeds goed te informeren en juiste informatie door te geven, maar stel mij op geen enkele manier aansprakelijk voor de volledigheid, juistheid of effectiviteit van informatie in mijn artikelen. Het gebruik van de informatie in dit artikel is op volledige verantwoordelijkheid en risico van de lezer zelf.






